友情提示
本站部分转载文章,皆来自互联网,仅供参考及分享,并不用于任何商业用途;版权归原作者所有,如涉及作品内容、版权和其他问题,请与本网联系,我们将在第一时间删除内容!
联系邮箱:1042463605@qq.com
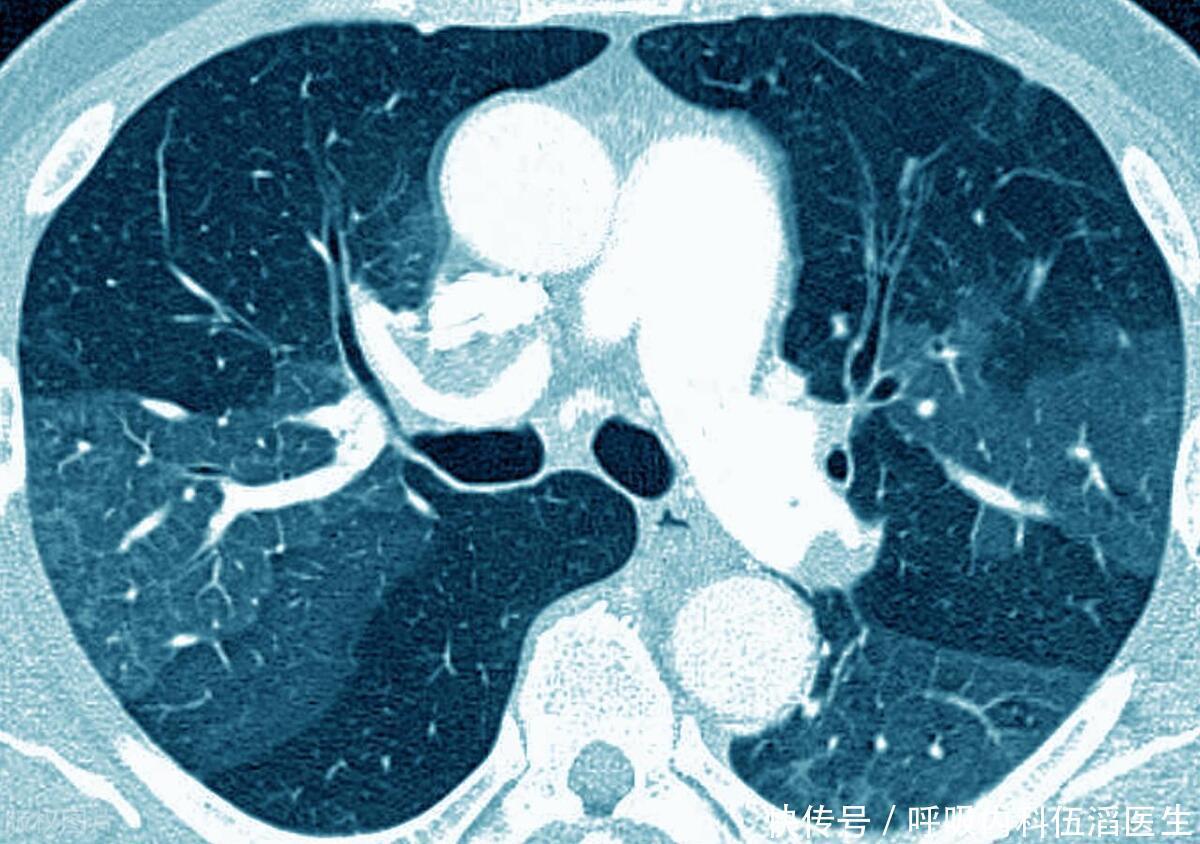
肺开始“癌变”时,身体或会出现 5 种症状,医生提醒:最好别大意
68
0
相关文章
近七日浏览最多
最新文章
标签云
健康
食管癌
恶性肿瘤
癌症
肿瘤
癌变
美国
癌细胞
免疫系统
新型癌症疫苗
体检
肾癌
漏诊
爱康集团
爱康国宾
胃癌
胃炎
幽门
曹颖
萎缩性
手术
妇科
医生
腹腔包块
生育器官
医者仁心
郑大三附院
妇幼保健院
细胞治疗
天桥
济南市
肺癌
中药
成果库
中医药
神经系统疾病
中山医院
治疗
演员
香港
周润发
刘嘉玲
陈荟莲
草蜢
乐队
梅艳芳
蔡一杰
男歌手
宝贝对不起
结节
张根硕
甲状腺癌
骨癌
症状
皮特
中英家庭
赵立坚
放化疗
皮肤瘙痒
胰腺癌
肺部
胸腔积液
声音嘶哑
不良习惯
调味料
首都医科大学
医保
国家医保局
甲状腺激素
甲状腺
肝硬化
酒精肝
白酒
预防肿瘤
肝脏
罹患癌症
鼻咽癌
放射治疗
宫颈癌
接种疫苗
肝癌
腹型肥胖
肠镜检查
肠道
饮食习惯
肠梗阻
济南
非小细胞肺癌
超声检查
睡眠质量
酸碱平衡
甲状腺结节
肺结节
于无声处
慢性疾病
慢性阻塞性肺疾病
血液循环
盗汗
失眠
延缓衰老
大蒜
生冷食物
炎症
尼古丁
有氧运动
mega
睡眠时间
金色年华
免疫治疗
呼吸衰竭
骑自行车
无价之宝
血管堵塞
血管
含糖饮料
支气管扩张
肺结核
吞咽困难
心脏
慢性肾病
老年人
健康长寿
养生
淋巴细胞
疫情
心脑血管
心理健康
胸部
肩膀
全国肿瘤
胡歌
白玉兰
琅琊榜
电视节
北京市
名誉权
中国
腺癌
空气污染
乳腺癌
男艺人
癌症晚期
吸烟
华科大
心血管疾病
致远
讣告
顾国宁
央视主持人
中国中央电视台
高血压
韩启德
中国科协主席
春晚
肺腺癌
遗传病
刘谦魔术师
美国临床肿瘤学会
烟瘾
央视春晚
尼格买提
我们的生活
关节
急诊科医生
安全座椅
疾病
胸腺
t细胞
防御系统
安全警卫
免疫性疾病
免疫
直肠癌
多肽
以色列
副作用
蒲公英根
是真的吗
药用价值
蒲公英
油炸食品
健康生活方式
免疫疗法
精神状态
致癌物质
早餐
维生素c
柚子
黄曲霉素
鸡蛋
优质蛋白
慢性萎缩性胃炎
胃黏膜
溃疡性结肠炎
医院
鉴定
疫苗
细胞
槟榔
口腔癌
莴笋
抗氧化物
娃娃菜
黄花菜
四季豆
糖尿病人
血糖
红薯
淋巴瘤
巴西
奥运会
宇航员
科学家
国际空间站
nasa
太空
结直肠癌
淋巴结肿大




