友情提示
本站部分转载文章,皆来自互联网,仅供参考及分享,并不用于任何商业用途;版权归原作者所有,如涉及作品内容、版权和其他问题,请与本网联系,我们将在第一时间删除内容!
联系邮箱:1042463605@qq.com
眩晕谨记“停、救、稳”三字诀,有哪些原因?头昏和眩晕一回事吗
25
0
相关文章
最新文章
很多人都发作过眩晕经常有医生把它归因于脑供血不足其实5种原因可以引起眩晕。出现眩晕一定要做好这3点防止意外的发生。
其实眩晕并不是一种单独的疾病而是一种运动错觉。患者一般睁开眼睛感到天旋地转闭上眼睛感到自己在转经常伴有摇摆、沉浮、翻滚、旋转等感觉。会出现恶心呕吐。这和头昏不是一回事头昏只是一种昏昏沉沉的感觉没有上述所说的旋转感等。

眩晕可以分为3大类
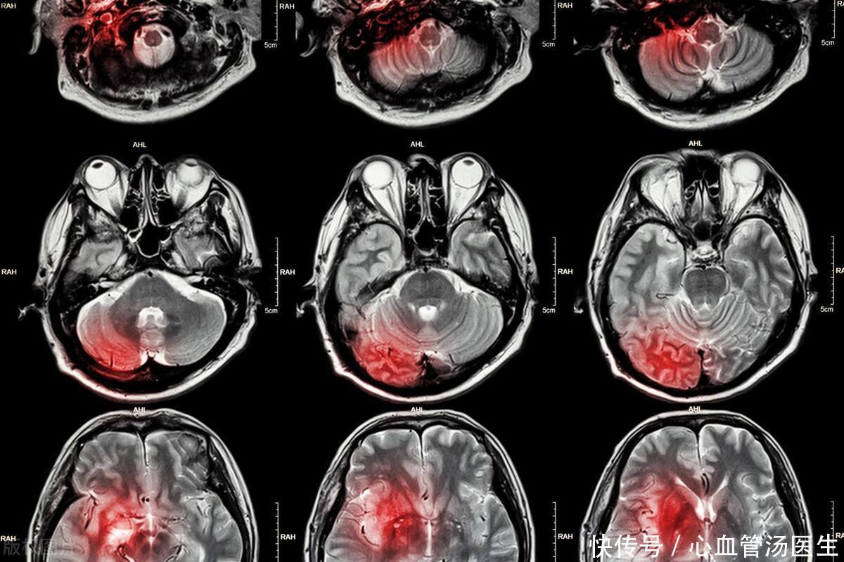
第一大类是中枢性眩晕也就是由于脑部的疾病引起常见于大脑动脉硬化、短暂脑缺血发作、小脑梗死、脑外伤、肿瘤、癫痫等对于中老年人长期高血压、糖尿病等引起的动脉粥样硬化严重容易出现上述的中枢性眩晕。
中枢性眩晕常呈持续性或者波动性和头部或身体位置的变化无关这点和耳石症等眩晕完全不同。患者发作时走路的步态不稳站立或者行走困难可能会伴有视力模糊、言语困难、吞咽困难等。

第二大类是周围性眩晕也就是中暑神经系统以外的原因引起的眩晕年轻人常见的梅尼埃病还有耳石症、中耳炎、突发性耳聋、药物中毒等引起。
如果突然剧烈旋转性眩晕持续20分钟到数小时伴有恶心呕吐耳内有持续的嗡鸣声或者感到耳闷、听力间歇性丧失等要考虑是梅尼埃病的可能性。
耳石症也称为良性阵发性位置性眩晕是内耳中的耳石从正常位置脱落到半规管引起对平衡信号的干扰出现的眩晕。

一般表现为突然短暂的旋转感持续几秒钟到几分钟常常在头部快速移动时出现比如在起床、躺下、翻身或者低头时出现。常伴有眼球不自主的快速抖动出现平衡失调不稳定伴有恶心呕吐等。
第三大类眩晕是内科疾病引起的眩晕。比如没有控制的高血压、低血压等严重贫血、感染也会引起眩晕发作还有糖尿病患者出现低血糖反应也会出现眩晕症状。

由于眩晕的病因多样一旦发生眩晕找准病因非常关键。耳石症等眩晕对健康影响较小通过手法复位可以治愈但是中枢性眩晕尤其的小脑梗死等急性发作能在第一时间确诊治疗会减少后遗症的出现。
医生提醒出现眩晕时要谨记“停、救、稳”三字诀这时需要立即停止所有的活动停止工作如果症状严重时要尽快寻求朋友和家人的帮助必要时拨打急救电话在等待期间要尽量降低重心尽快坐位或者平躺避免跌倒的发生造成次生伤害。#眩晕##哪些疾病会导致眩晕#
友情提示
本站部分转载文章,皆来自互联网,仅供参考及分享,并不用于任何商业用途;版权归原作者所有,如涉及作品内容、版权和其他问题,请与本网联系,我们将在第一时间删除内容!
联系邮箱:1042463605@qq.com